Brain development and interconnection
The brain of a newborn already has billions of nerve cells, but it is not yet capable of complex performance. For this, it first needs further functional networking. From the early childhood phase onwards, learning multiplies the number of connections between the nerve cells. The synaptic learning of the brain is subject to specific functional conditions.
Content
At a very early stage of embryonic development, the formation of the nervous system begins. The brain is built layer by layer from newly produced nerve cells. In the eighth week of pregnancy, the basic structures of the brain and spinal cord are already established. Gradually, more and more nerve cells form in these structures. Although the brain of a newborn already has billions of nerve cells, it is not yet capable of complex performance. This requires an additional functional network. In the phase of early childhood, the number of connections between nerve cells multiplies. This early phase of development is also crucial for the development of higher level cognitive skills at a later stage. During this development, the brain triples in weight by adulthood. In an adult, each neuron is connected to 1,000 other neurons, and each neuron is then connected to every other neuron in the brain via just six switch points. In this incredibly large neural structure, with more than 100 trillion synaptic connections, all information such as motor skills, language, behavior, etc. is stored. This extreme interconnection of neurons has another advantage: each neuron in the network can be involved in a wide variety of tasks. In addition, such a network can take on several tasks at the same time, since these structures are interconnected in parallel and not in series.
Synaptic learning
The incremental development of the brain through networking is fundamentally based on the process of synaptic learning. When interconnected cells are activated together, the connections between them gradually strengthen and strengthen. If this process of synaptic learning is repeated frequently, an increasingly structured neural network is thus formed. Thus, synaptic learning in the cerebral cortex thrives on repetition. However, it is not necessarily the duration that matters, but rather the frequency. To train the network in its complexity, it does not make sense to repeat the same content endlessly. By varying the tasks in a rich learning environment, modified patterns are developed again and again. This resulting solution space then allows us to achieve the high adaptability to the complex tasks of everyday life that is so necessary.
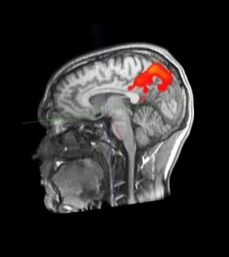
A view inside the brain
With the help of new methods of neuroscience, the abilities of our brain can be examined more and more precisely. A look inside the brain is possible with imaging methods such as computed tomography (CT) or magnetic resonance imaging (MRI). Functional magnetic resonance imaging (fMRI) can reveal changes in blood flow in brain areas and thus not only structure but also activation. In this way, the neural network in the brain is indirectly recorded in its operation. In this way, it is hoped to better understand how our brain works and learns. However, the knowledge gained so far about how the brain works during learning is very limited due to various methodological limitations, so this topic remains a major challenge for brain research.

fMRT Picture of a 24 year old - https://de.wikipedia.org/wiki/Funktionelle_Magnetresonanztomographie#/media/Datei:Aktivitaethinten.jpg
What does this mean for my teaching practice?
Synaptic learning is subject to specific learning conditions. Repetition is important, but not necessarily the length of time, but rather the frequency. It is also not useful to repeat the same content endlessly. To train more complex skills, it is beneficial to vary tasks and provide a rich learning environment.
Reflection question
What might a rich learning environment look like for a school learning task that supports "all-sense" learning?
Quiz
1) The brain of a newborn baby has
A) few nerve cells
B) few nerve connections
2) Synaptic learning depends on
A) the duration of repetitions
B) the number of repetitions