Dezvoltarea și interconectarea creierului
Creierul unui nou-născut are deja miliarde de celule nervoase, dar nu este încă capabil de performanțe complexe. Pentru aceasta, este nevoie mai întâi de o rețea funcțională suplimentară. Începând cu faza copilăriei timpurii, învățarea înmulțește numărul de conexiuni dintre celulele nervoase. Învățarea sinaptică a creierului este supusă unor condiții funcționale specifice.
Conținut
Într-un stadiu foarte timpuriu al dezvoltării embrionare, începe formarea sistemului nervos. Creierul se construiește strat cu strat din celulele nervoase nou produse. În a opta săptămână de sarcină, structurile de bază ale creierului și ale măduvei spinării sunt deja stabilite. Treptat, în aceste structuri se formează din ce în ce mai multe celule nervoase. Deși creierul unui nou-născut are deja miliarde de celule nervoase, acesta nu este încă capabil de performanțe complexe. Acest lucru necesită o rețea funcțională suplimentară. În faza copilăriei timpurii, numărul de conexiuni dintre celulele nervoase se înmulțește. Această fază timpurie de dezvoltare este, de asemenea, crucială pentru dezvoltarea abilităților cognitive de nivel superior într-o etapă ulterioară. În timpul acestei dezvoltări, greutatea creierului se triplează până la vârsta adultă. La un adult, fiecare neuron este conectat la alți 1000 de neuroni și fiecare neuron este apoi conectat la fiecare alt neuron din creier prin intermediul a doar șase puncte de comutare. În această structură neuronală incredibil de mare, cu mai mult de 100 de trilioane de conexiuni sinaptice, sunt stocate toate informațiile, cum ar fi abilitățile motorii, limbajul, comportamentul etc. Această interconectare extremă a neuronilor are un alt avantaj: fiecare neuron din rețea poate fi implicat într-o mare varietate de sarcini. În plus, o astfel de rețea poate prelua mai multe sarcini în același timp, deoarece aceste structuri sunt interconectate în paralel și nu în serie.
Învățarea sinaptică
Dezvoltarea crescândă a creierului prin crearea de rețele se bazează în mod fundamental pe procesul de învățare sinaptică. Atunci când celulele interconectate sunt activate împreună, conexiunile dintre ele se întăresc și se consolidează treptat. Dacă acest proces de învățare sinaptică se repetă frecvent, se formează astfel o rețea neuronală din ce în ce mai structurată. Astfel, învățarea sinaptică în cortexul cerebral prosperă prin repetiție. Cu toate acestea, nu este neapărat importantă durata, ci mai degrabă frecvența. Pentru a antrena rețeaua în complexitatea sa, nu are sens să se repete același conținut la nesfârșit. Prin variația sarcinilor într-un mediu de învățare bogat, se dezvoltă din nou și din nou modele modificate. Acest spațiu de soluții rezultat ne permite apoi să obținem adaptabilitatea ridicată la sarcinile complexe ale vieții de zi cu zi, care este atât de necesară.
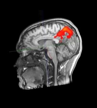
O vedere în interiorul creierului
Cu ajutorul noilor metode ale neuroștiinței, abilitățile creierului nostru pot fi examinate din ce în ce mai precis. O privire în interiorul creierului este posibilă cu ajutorul unor metode imagistice precum tomografia computerizată (CT) sau imagistica prin rezonanță magnetică (IRM). Imagistica prin rezonanță magnetică funcțională (fMRI) poate dezvălui modificări ale fluxului sanguin în zonele creierului și, astfel, nu numai structura, ci și activarea. În acest fel, rețeaua neuronală din creier este înregistrată indirect în funcționarea sa. În acest fel, se speră să se înțeleagă mai bine modul în care creierul nostru funcționează și învață. Cu toate acestea, cunoștințele dobândite până în prezent despre modul în care funcționează creierul în timpul învățării sunt foarte limitate din cauza diferitelor limitări metodologice, astfel încât acest subiect rămâne o provocare majoră pentru cercetarea creierului.

fMRT Imaginea unei persoane de 24 de ani - https://de.wikipedia.org/wiki/Funktionelle_Magnetresonanztomographie#/media/Datei:Aktivitaethinten.jpg
Ce înseamnă acest lucru pentru practica mea didactică?
Învățarea sinaptică este supusă unor condiții de învățare specifice. Repetiția este importantă, dar nu neapărat durata de timp, ci mai degrabă frecvența. De asemenea, nu este util să repetați același conținut la nesfârșit. Pentru a antrena abilități mai complexe, este benefic să se varieze sarcinile și să se ofere un mediu de învățare bogat.
Întrebare de reflecție
Cum poate arăta un mediu de învățare bogat pentru o sarcină de învățare școlară care să sprijine învățarea "cu toate simțurile"?
Quiz
1) Creierul unui nou-născut are:
A) Puține celule nervoase
B) puține conexiuni nervoase
2) Învățarea sinaptică funcționează prin
A) durata repetițiilor
B) numărul de repetiții